国内新闻

摆七夕,游古村,品妈姐菜!顺德均安独有的七

人气: 173

8月24、25日两天,第三届自梳女七夕文化节在顺德区均安镇沙头古村举行。此次文化节以“穿越古村,礼韵七夕”为主题,以弘扬中华传统文化、重现摆七...

40万元坑位费卖出三千销售额背后:带货主播普遍

人气: 173

当直播带货日益演变为数字游戏之时,水面下的故事正在浮现。 近日,南都记者调查发现,相较于顶流主播们创造的可观销售额和品牌曝光度,更有相当一...

网红泰国减肥药含毒品成分 网购服用被认定吸毒

人气: 173

最近,一种名叫“泰国DC减肥药”的产品上了微博热搜,原因是上海市禁毒办通报,这种通常借由代购进入国内的产品实际上含有多种在我国管制的精神药...

一男子腾讯接待中心所在楼坠亡!家属称因微信

人气: 173

近日,有媒体报道称8月15日,一名21岁男子因微信被封号影响做生意,多次申诉无果后从腾讯用户接待中心坠亡,引发关注。8月27日,南都记者致电事发地...

<b>湛江5岁男童被遗留在校车身亡续:园方已赔偿,</b>

人气: 173

此前南都报道广东湛江5岁男童被遗留校车后近9小时身亡案件再有新进展。8月27日广东湛江遂溪县人民检察院微信公众号“遂溪检察”发布消息称,关于“...

中银协:厦门国际银行员工未喝酒被打一事处罚

人气: 173

“新员工未喝领导敬酒被扇耳光”事件日前引发关注后,涉事单位厦门国际银行北京分行已发布声明回应。8月27日,中国银行业协会在其公众号上发文称,...

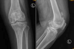
广东首例AI辅助全膝关节置换手术,手术过后就能

人气: 173

南都讯 记者李春花 通讯员 王慧 75岁的何阿姨,常年受到双膝关节疼痛的折磨,近日疼痛愈加严重,双侧膝关节逐渐弯曲变形,辗转来到广医三院关节外科...

官方微信公众号